Lower Templestowe Dental Excellence
Online bookings now available. Click here. 

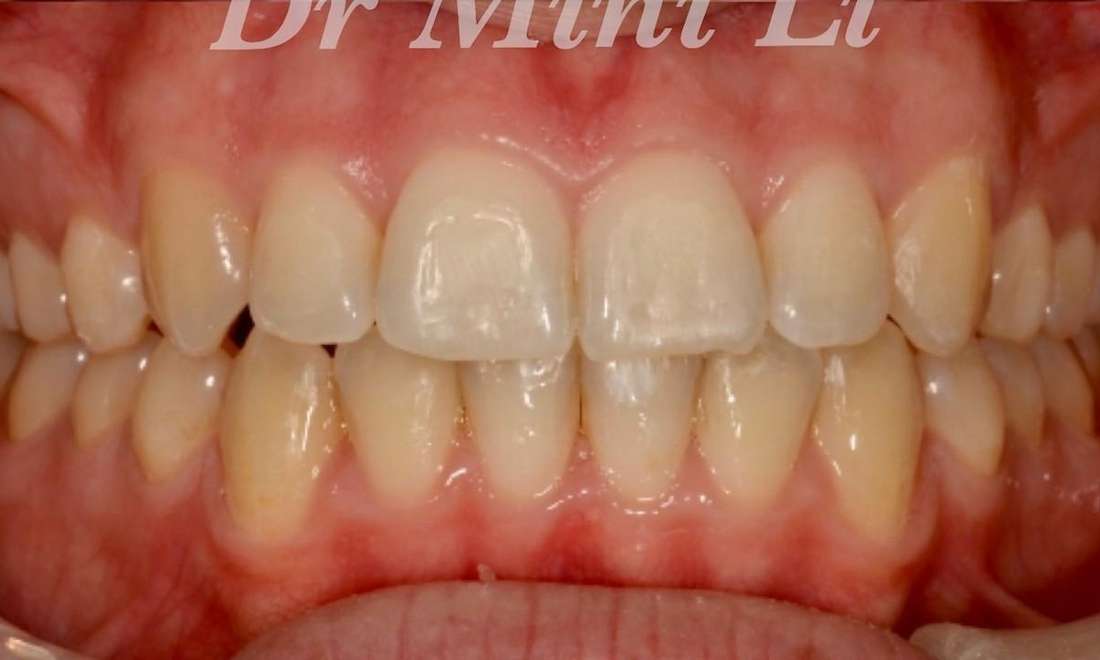
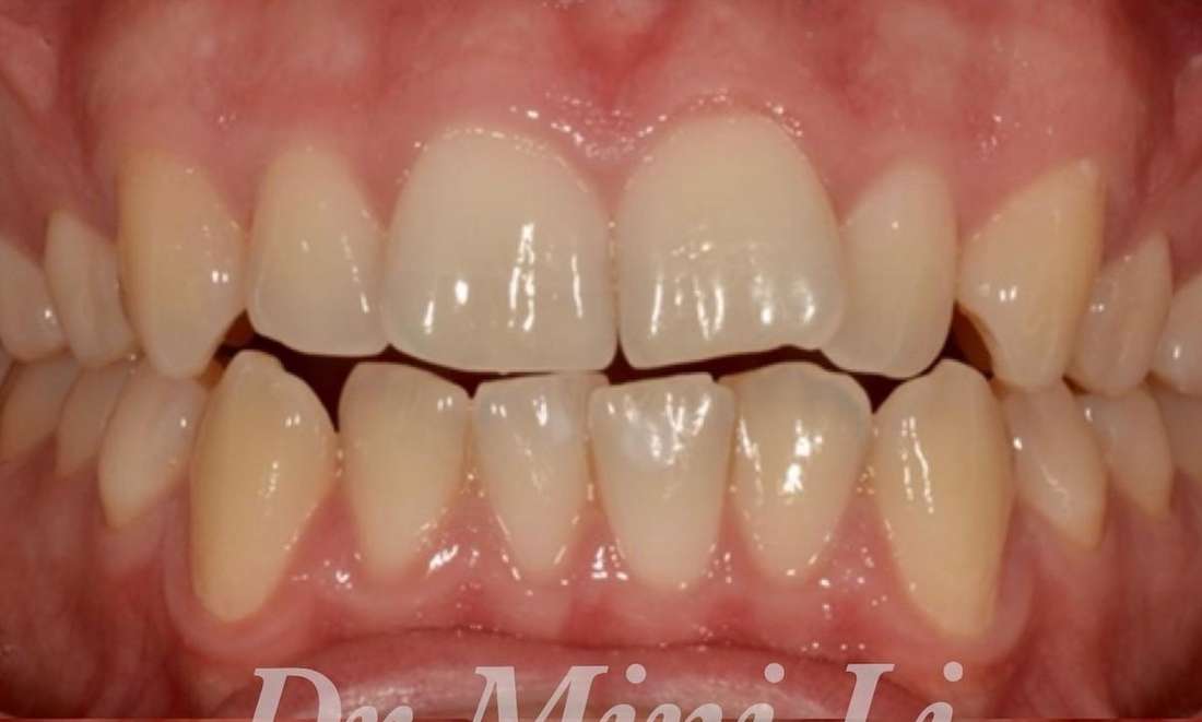
Invisalign

 

 

 

 
 
 
 
 

Please note: Treatment options, risks and results will vary from patient to patient. Discussion on what to expect and whether this treatment is right for you with an appropriately qualified health practitioner is always recommended. 

Related Services:

Orthodontics and Clear Braces
Our Passion Is Your Healthy Smile
Any surgical or invasive procedure carries risks. Before proceeding, you should seek a second opinion from an appropriately qualified health practitioner.