Skip to main content
Online bookings now available. Click here. 
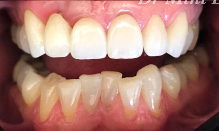
Crowns and Bridges
Crowns and Bridges Restore Smiles

Dental crowns have a range of uses on their own and work beautifully to support a dental bridge.

Crowns and Bridges | Dentist
We Love Restoring Smiles in Lower Templestowe
Contact Us

Crowns and Bridges

If you have missing or damaged teeth, you may be considering restorative dentistry in Lower Templestowe. Our experienced dentists offer full smile restorations in our dental clinic, which may include dental crowns and bridges.

Dental Crowns

The team at Lower Templestowe Dental Excellence has a lot of experience with dental crowns and often use them in restorative dentistry.

A tooth crown is a cap that covers your tooth. It is always shaped and shaded to match your surrounding teeth.

4 Ways We Use Dental Crowns

Dr Mini Li and her team rely on the latest materials and technologies, partnering with trusted labs to fabricate crowns that are aesthetically pleasing and functional. And we use these crowns in several aspects of dentistry.

  1. Tooth Damage or Following Root Canal Treatment: In this case, the dental crown caps your tooth and provides support against fractures.
  2. Concealing Tooth Flaws: In cosmetic dentistry, we can use a tooth crown to hide discolouration, chips, shape issues, and small gaps between teeth.
  3. Dental Implant Technology: Following implant placement and jawbone integration, we use a dental crown to restore your lost tooth.
  4. Anchoring a dental bridge: Dental crowns work to support your new smile.

How a Dental Bridge Closes the Gap When Teeth Are Missing

A dental bridge is one or two restoring teeth situated between dental crowns. The crowns cap the tooth to the left and right of your smile gap, allowing the bridge to complete your smile.

This tooth replacement option is a fixed prosthetic, which means it can only be removed by your Lower Templestowe dentist. Because it is fixed, you don’t have to worry about slippage.

One of our experienced dentists will discuss all tooth replacement options with you, provide an exam, and typically take x-rays to determine whether a dental bridge will work for you. One key consideration is the health of the teeth on either side of your smile gap. In some cases, your dentist may recommend a dental implant to secure your bridge.

How to Care for Your New Smile

Now that you’ve restored your smile, you want to enjoy the results and take steps to support ongoing function and aesthetics.

The best way to care for your dental crowns is to treat them like natural teeth by adopting healthy habits:

  • Brush and floss twice daily
  • Visit your dentist regularly
  • If you play sports, wear a mouthguard
  • If you have bruxism, ask us about our nightguards

Are You Ready to Restore Your Smile?

We encourage you to reach out to a friendly team member today to learn more about crowns and bridges in Lower Templestowe.

We provide crown and bridgework in all locations, including Lower Templestowe, Templestowe, Doncaster, Doncaster East, Donvale, Balwyn, Balwyn North, Mont Albert North, Bulleen, Heidelberg and Ivanhoe.

  • Smile.com.au Discounted Fees

    Here’s something to smile about…Lower Templestowe Dental Excellence is proudly partnered with smile.com.au.

    smile.com.au is re-inventing dental cover and is on a mission to make quality dental care more accessible for Australia. Get reduced & capped dental fees from $79 a year! smile.com.au dental cover will guarantee savings between 15 - 40% off all dental fees every time you visit LTDE.
    Plus with smile.com.au, there’s no waiting periods, no treatment exclusions, no claiming and no benefit limits.
    It's a New Era of Dental Cover!
    Simply join online in 2 minutes, make an appointment at LTDE and then show your smile.com.au and at your appointment to receive your reduced treatment fees.
    Now it’s easy to keep smiling at Lower Templestowe Dental Excellence.

     

Meet Our Doctors:

Dr Scott Murphy
Dentist

A Note from Dr Scott:

To my LTDE patients,
 
With a focus to further my dental expertise, I have decided to make the big step to go back to University to commence full ...

Dr Ali Han
Dentist

* Dr Ali will be heading into maternity leave from April 2025 *

 

Dr Ali is a caring clinician who believes that the trip to the dentist should be a positive ...

dr mini li female dentist with maroon uniform

Dr Mini Li
Principal Dentist

Dr Mini is a gentle and highly experienced dentist with over 15 years of experience in the dental industry, we are delighted to have Dr Mini with us after leading ...

Dr Dragan Antolos
Dentist

Dr Dragan is our well-loved Melbourne resident, who graduated in 1982 from the University of Melbourne. With almost 40 years of experience, he has looked after the dental needs of ...

dr dan patterson dentist smiling at camera

Dr Daniel Patterson
Dentist

Dr Dan is a friendly, warm dentist who is passionate about providing the best dental care for his patients. Dr Dan moved over from his home town, Calgary in Canada, ...

Dr Millie Pearce
Dentist

Dr Millie is a friendly and gentle clinician who understands the importance of making her patients feel safe and comfortable. She is aware that every individual has unique needs and ...

Our Passion Is Your Healthy Smile
Contact Us